Ein Material, hergestellt von Bakterien, das sich für verschiedenste Anwendungen eignet und sich in der Natur vollständig auflöst: Was wie ein Märchen klingt, könnte die Kunststoffindustrie revolutionieren. Polyhydroxyalkanoate, kurz: PHA, bieten nicht nur im Vergleich mit herkömmlichen, ölbasierten Polymeren, sondern auch mit vielen sogenannten „Bio-Kunststoffen“ enorme Vorteile. Bereits jetzt gibt es etliche Beispiele für Produkte, die aus PHA gefertigt werden – auch in der Werbeartikelbranche. Was es braucht, damit das Material flächendeckender als bisher zum Einsatz kommt, erklärt Rick Passenier, Mitgründer und Vorstandsmitglied der Organisation GO!PHA.

Herr Passenier, auf Ihrer Website haben Sie ausführliche wissenschaftliche Informationen über PHA hinterlegt, ganz im Sinne einer seriösen Lobbyarbeit. Aber mal für Laien: Was ist PHA?
Rick Passenier: In der Tat ist es manchmal kompliziert, über PHA zu sprechen, ohne wissenschaftlich ins Detail zu gehen. Nicht zuletzt deshalb erarbeiten wir zurzeit ein Kommunikations- und PR-Programm, um unsere Informationen und Daten kompatibler und zugänglicher für die Öffentlichkeit zu machen. Polyhydroxyalkanoate – kurz: PHA – in ihrer natürlichen Form sind Polymere, die überall in der Natur vorkommen, und zwar als Produkt, das bestimmte Bakterien herstellen. Solche Bakterien und damit PHA existieren übrigens schon viel, viel länger als menschliches Leben auf der Erde. Es gibt viele verschiedene Bakterienarten, die PHA produzieren und sich von kohlenstoffreichen Substanzen ernähren. Unter den richtigen Bedingungen betreiben die Bakterien Biosynthese und reichern PHA als Energiespeicher in ihrem Körper an – sozusagen als „Fettreserve“ für schlechte Zeiten. Dieses PHA verbleibt in den Bakterien. Aber man kann sich den biochemischen Prozess zunutze machen, indem man große Mengen geeigneter Bakterien mit kohlenstoffreicher Nahrung füttert, um anschließend das PHA aus ihnen zu extrahieren.
Wie kann man sich den industriellen Prozess der PHA-Herstellung vorstellen?

Rick Passenier
Rick Passenier: Es gibt verschiedene Methoden, alle beinhalten bestimmte Bakterien, die Stoffe der PHA-Materialgruppe bilden. Es gibt auch nicht „ein“ PHA, sondern – ähnlich wie bei synthetischen Polymeren auch – viele verschiedene mit unterschiedlichen Eigenschaften. Abhängig von den Bakterien und auch von den Stoffen, mit denen sie gefüttert werden, entstehen verschiedene Arten PHA, die sich für die unterschiedlichen Anwendungen eignen. „Kunststoff“ an sich ist ja eine Familie von Polymeren, und PHA ist ein natürliches Pendant dazu, bei dem man mit unterschiedlichen Herstellungsmethoden und Ausgangsszenarien unterschiedliche Materialien und Funktionalitäten erhält.
Also kann ich z.B. über die Bakteriensorte und das „Futter“ die Eigenschaften des fertigen PHA-Kunststoffes beeinflussen?
Rick Passenier: Im Prinzip ja. Es gibt z.B. Bakterien, die, wenn sie komplexere Stoffe fressen, auch komplexere Materialien produzieren – vereinfacht ausgedrückt.
Es gibt inzwischen recht viele Unternehmen, die kommerziell PHA produzieren – mehrere Dutzend davon sind auch Mitglieder von GO!PHA. Wie sieht es dort aus? Stehen da große Tanks, die regelmäßig „abgeerntet“ werden?
Rick Passenier: Genau – und im Inneren arbeiten biologische Mikrofabriken, die Bakterien. Es gibt überall in der Natur Organismen, die PHA produzieren. Der Trick besteht darin, die richtigen zu finden und sie dazu zu bringen, einen Stoff mit bestimmten Eigenschaften herzustellen, indem man das Setup der Mikrofabrik immer weiter anpasst und optimiert. Dies geschieht z.B. über die Wahl des Futters, das aus Pflanzenöl, benutztem Küchenöl oder sogar aus Nahrungsmittelabfällen bestehen kann. Letzten Endes wird ein natürliches Produktionssystem nachgeahmt und in ein standardisiertes industrielles System umgewandelt. Sobald die Bakterien große Mengen von PHA gebildet haben, wird ihre Zellstruktur zerstört und das PHA extrahiert und weiterverarbeitet.
Woher bekommt man die Bakterien?
Rick Passenier: Es gibt natürliche Umgebungen, von denen man bereits weiß, dass sie entsprechende Spezies hervorbringen. Eines unserer Mitgliedsunternehmen sammelt z.B. die Bakterien für seine Fabrik vor der französischen Küste. Aber die Suche ist längst nicht abgeschlossen.
Von welchen Mengen reden wir?
Rick Passenier: Die PHA-Industrie als ganzes ist noch in der Gründungsphase. Verglichen mit der gesamten Kunststoffindustrie ist sie extrem klein, sie wächst aber recht schnell, und man rechnet damit, dass sich ihr Wachstum in den kommenden Jahren noch beschleunigen wird. Große Produzenten können aktuell jährlich rund 5 Kilotonnen produzieren, wobei es Pläne gibt, die Produktion in absehbarer Zeit auf 20 oder sogar 50 Kilotonnen hochzuskalieren.
Wo liegen die Vorteile von PHA im Vergleich zu anderen natürlichen Polymeren, die z.B. auf Mais oder Zuckerrohr basieren?

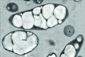
Auf diesen Mikroskopaufnahmen PHA-reicher Zellen (72-fache Vergrößerung) lassen sich die von Bakterien gebildeten PHA-Depots gut erkennen.
Rick Passenier: Es gibt zwei bedeutende Kriterien, nach denen Kunststoffe unterschieden und bewertet werden, die nicht aus Erdöl synthetisiert wurden: bio-basiert – das bezieht sich auf das Ausgangsmaterial – und biologisch abbaubar – dies bezieht sich auf die Entsorgung. Das Tolle an PHA ist, dass der Rohstoff in Bezug auf beide Kriterien eine extrem hohe Vielseitigkeit aufweist. PHA kann mithilfe von fast allen kohlenstoffreichen Futterstoffen hergestellt werden, die sich wirtschaftlich und effizient in industriellem Ausmaß einsetzen lassen. Das kann sogar CO2, Erdgas, benutztes Küchenöl oder organischer Abfall sein. Auch, was die End-of-Life-Optionen angeht, ist PHA vielseitiger als jeder andere Bio-Kunststoff: Er kann mechanisch oder chemisch recycelt werden, er ist vollständig kompostierbar, und zwar, im Gegensatz zu vielen anderen biologisch abbaubaren Kunststoffen, nicht nur unter bestimmten industriellen Bedingungen, sondern selbst auf dem heimischen Kompost, in der Natur oder auf konventionellen Müllhalden. Darüber hinaus löst sich PHA sowohl in Süß- als auch in Salzwasser vollständig und ohne schädliche Rückstände auf. Damit passt das Material perfekt zu Nachhaltigkeitskonzepten, die den gesamten Lebenszyklus von Produkten einbeziehen.
Gibt es Nachteile, die PHA gegenüber ölbasierten Polymeren hat, und die sich auf dem Weg zu einem großflächigeren Einsatz als Hürde erweisen könnten?
Rick Passenier: Ölbasierte Kunststoffe haben den Vorteil, dass bereits jahrzehntelang an ihnen geforscht und entwickelt wurde, deshalb gibt es dort inzwischen natürlich Tausende von Materialien, die hervorragend funktionieren. Bildlich gesprochen: PHA ist noch ein Säugling, während die konventionellen Kunststoffe ein erwachsener, reifer und gebildeter Mensch sind. Man muss eine Menge Zeit und Geld investieren, damit aus dem Säugling ein Erwachsener wird, der selbstständig ist, laufen kann und seine Funktion und Verantwortung in der Gesellschaft wahrnimmt. Wir sind zuversichtlich, dass mit PHA fast alles im Kunststoffbereich möglich ist – aktuell wird z.B. an Textilien auf PHA-Basis geforscht –, aber die Entwicklungen sind insgesamt noch in der Anfangsphase. Um sie voranzutreiben, braucht es Vorreiter mit finanzieller und industrieller Power. Natürlich geht es wie überall auch um Kosten. Noch ist PHA, verglichen mit anderen Kunststoffen, um das anderthalb- bis zweieinhalbfache teurer. Je mehr produziert wird, je höher der Automatisierungsgrad und die Kapazitäten bei den Herstellern werden, desto wettbewerbsfähiger werden natürlich auch die Preise. Schon jetzt kann man eine starke Preisentwicklung nach unten feststellen.
Muss man bei der Lagerung des Ausgangsstoffes etwas beachten?
Rick Passenier: Nein, eigentlich nicht. Es sollten keine Kompostbedingungen herrschen, die Granulate sollten kühl und trocken gelagert werden, aber das ist ja normalerweise ohnehin der Fall.
Je nach Endprodukt gibt es ja etliche Herstellungsmethoden – Spritzguss, Schleuderguss, Extrusion etc. Außerdem enthalten Kunststoffe ja häufig Zusatzstoffe wie Weichmacher, damit sie ihre spezifische Aufgabe richtig erfüllen. Wie kann man PHA-Kunststoffe den verschiedenen Einsatzzwecken anpassen, ohne ihre ökologischen Vorteile einzuschränken?
Rick Passenier: Hier sind wir wieder beim breiten Spektrum der verschiedenen PHA-Arten und dem komplexen Zusammenspiel von Bakterien, Futterstoffen und Verarbeitungsprozessen angelangt. Einer der ersten PHA-Kunststoffe, die erfolgreich produziert wurden, war z.B. PHB, das jedoch ziemlich spröde war und sich deshalb für viele Anwendungen nicht eignete. Aber es wurde weiterentwickelt, außerdem entstanden neue Materialien, wie z.B. PHBH, das weniger spröde ist. PHA lässt sich genau wie andere Polymere verändern und immer weiter anpassen. Natürlich braucht man immer noch Zusätze, allein schon Farbstoffe – hier besteht die Aufgabe dann darin, natürliche Alternativen zu wählen. Wie bei anderen Kunststoffen auch, müssen Produzenten gemeinsam mit ihrem Rohstoffhersteller das für ihr Produkt und ihre Herstellungsmethode geeignete Material finden.
In welchen Produktbereichen lässt sich PHA denn jetzt schon gut einsetzen, und wo sieht man es schon häufiger?
Rick Passenier: Es gibt schon jetzt viele tolle Produkte, die Palette reicht von Gebrauchsprodukten wie Schreibgeräten über Taschen oder Accessoires bis hin zu verschiedensten Verpackungen oder Spezialanwendungen – etwa als Sunblocker in Cremes. Weil das PHA natürlichen Ursprungs ist, konzentrieren sich viele nur auf den Aspekt der problemlosen Entsorgung, hier versuchen wir, den Fokus zu erweitern. Viele Produkte aus PHA – etwa Haushaltsgegenstände – lassen sich nämlich viele Jahre lang benutzen. Aber natürlich bieten sich viele Anwendungsbereiche auch gerade deswegen an, weil PHA sich so gut auflöst – man denke z.B. an kompostierbare Einkaufstaschen oder Kaffeekapseln, die schon jetzt sehr häufig aus PHA hergestellt werden. Auch im bio-medizinischen Bereich hat PHA schon länger Einzug gehalten, etwa für chirurgische Garne, die sich nach einer gewissen Zeit auflösen.
Gemeinsam mit dem Schweizer Schreibgerätehersteller Prodir wurde ein Schreibgerät entwickelt, dessen Gehäuse zu 100% aus PHA besteht – der QS 40 True Biotic. Wie kam es zu der Zusammenarbeit?
Rick Passenier: Einer unserer gemeinsamen Partner – ein italienisches Kunststoffverarbeitungsunternehmen, das u.a. PHA-Verbindungen herstellt – brachte uns in Kontakt, weil Prodir Mitglied bei GO!PHA werden wollte. Wir haben dann diskutiert, was wir füreinander tun können, u.a. ging es darum, dass Prodir auch für uns ein Schreibgerät produziert, das wir für unser Marketing nutzen. Wir setzen den QS 40 True Biotic jetzt auch als Werbeartikel ein, und ich habe ihn immer dabei, denn man kann mithilfe haptischer Produkte ganz hervorragend abstrakte Inhalte vermitteln und die Vorteile von PHA buchstäblich greifbar machen.
Und natürlich sind Produkte aus PHA ganz hervorragende Marketingtools, denn sie transportieren ökologisches Engagement und Bewusstsein auf sehr plakative Art und Weise – man kann mit ihnen fantastische Geschichten erzählen.
Rick Passenier: Absolut. Das gilt auch für uns als Organisation, die sich die Lobbyarbeit für PHA auf die Fahnen geschrieben hat. Deshalb sind wir immer auf der Suche nach Case Studies und dankbar für alle Produkte, mit denen wir die Vielseitigkeit und die Vorteile unseres Werkstoffes konkret demonstrieren können.
Ich bin sicher, es wird zukünftig noch mehr Werbeartikelhersteller geben, die zumindest für einen Teil ihres Sortiments PHA einsetzen möchten. Was würden Sie diesen Unternehmen raten, wie sie dabei vorgehen sollen?

Vorteil von PHA gegenüber herkömmlichen Kunststoffen: Das Material löst sich sowohl im Süß- als auch im Salzwasser komplett rückstandslos auf und ist damit eine ökologisch sinnvolle Alternative zu Einwegartikeln aus Plastik.
Rick Passenier: Die Ausgangsfrage bleibt die gleiche: Welche Anforderungen soll das fertige Produkt erfüllen? Davon ausgehend kann man sich auf die Suche nach einem passenden PHA-Lieferanten machen. Als nächstes stehen dann Tests und, falls nötig, Weiterentwicklungen und Anpassungen an. GO!PHA hat es sich zur Aufgabe gemacht, „die Entwicklung, Kommerzialisierung und Einführung natürlicher, biologisch abbaubarer und nachhaltiger PHA-Polymere weltweit zu beschleunigen“. Was muss getan werden, damit die Kunststoffindustrie in größerem Umfang auf den umweltfreundlichen Werkstoff umsteigt? PHA ist auf einem sehr vielversprechenden Weg und kann sich ebenso wie herkömmliche Kunststoffe entwickeln, aber es braucht noch Zeit und hohe Investitionen, um auf das gleiche Level zu kommen. Die einzelnen Akteure entlang der Wertschöpfungsketten – Rohstoffproduzenten, Hersteller, Händler – müssen willens sein, einen Prozess zu durchschreiten, der viel Zeit und finanzielle Mittel in Anspruch nimmt. Starke Leader mit einer hohen Reputation, einer breiten Außenwirkung und großen Marktmacht spielen dabei eine Schlüsselrolle. Je mehr Entwicklungen vorangetrieben, je mehr Produkte erfolgreich im Markt eingeführt werden, desto mehr Unternehmen werden dem Beispiel einzelner Pioniere folgen und desto besser können wir der Welt beweisen, was mit PHA möglich ist.
Gibt es denn einige Big Player, die aktuell mit PHA experimentieren, die für weitere Durchbrüche sorgen und den Schneeballeffekt beschleunigen könnten?
Rick Passenier: Auf jeden Fall – in unserem Netzwerk sind mehrere große Unternehmen, die von sich aus motiviert sind, an einem Wandel mitzuarbeiten und in verschiedenen Produktbereichen intensiv Herstellungsprozesse mit PHA testen. Manche sind dabei regelrecht ungeduldig. Der Prozess ist der gleiche wie bei anderen Innovations- und Skalierungsprozessen auch: Sobald alle Herausforderungen bei der Produktion gemeistert wurden, geht es darum, die richtigen Herstellungsvolumina zu bestimmen und die gesamte Wertschöpfungskette Schritt für Schritt anzupassen. So etwas funktioniert, global gesehen, nicht von heute auf morgen, aber die richtigen Impulse sind da. Persönlich denke ich, dass PHA eine tolle Zukunft vor sich hat. Es gibt so viele Materialien in der Natur, die nur darauf warten, dass man an ihnen forscht, um sie erfolgreich als ökologische Alternativen verwenden zu können.
// Mit Rick Passenier sprach Till Barth.
Bildquelle: Dr. Elisabeth Ingolic´, FELMI/ZFE, TU Graz (2); GO!PHA (2); Pagani Pens (1)



